
혹시 아래쪽 앞니 안쪽을 혀로 만졌을 때 딱딱하게 걸리는 느낌, 받아보신 적 있으신가요? 저는 양치질을 아무리 열심히 해도 그 불편한 느낌이 사라지지 않아서 늘 신경 쓰였습니다. 치과에 가면 어김없이 "치석이 많으시네요"라는 말을 듣곤 했는데, 솔직히 처음엔 제가 관리를 소홀히 해서 그런 줄 알고 자존감이 떨어지기도 했습니다. 그런데 알고 보니 치석이 잘 생기는 건 단순히 양치 횟수나 습관만의 문제가 아니었습니다. 타액(침) 속 성분이나 치아 구조 같은 타고난 요인이 크게 작용한다는 사실을 알게 된 후, 제 자신을 너무 탓했던 게 조금은 억울하게 느껴졌습니다.
치석은 왜 아래 앞니 안쪽에 가장 많이 생길까요?
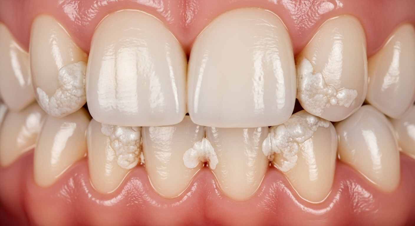
거울을 보고 입을 크게 벌렸을 때, 아래쪽 앞니 뒷면에 노란색이나 갈색으로 뭔가 붙어 있는 걸 보신 적 있으신가요? 바로 그게 치석입니다. 제 경우에도 정확히 그 부위에 치석이 가장 먼저, 가장 많이 생겼습니다. 처음엔 왜 하필 거기에만 집중적으로 생기는지 이해가 안 됐는데, 그 이유는 타액선(침샘)의 위치와 관련이 있었습니다.
아래 앞니 안쪽 바로 옆에는 설하선(sublingual gland)과 악하선(submandibular gland)이라는 주요 침샘이 위치해 있습니다. 여기서 설하선이란 혀 밑에 자리한 침샘으로, 끊임없이 타액을 분비하는 역할을 합니다. 이 침샘들에서 나온 침이 아래 앞니 뒷면으로 계속 흘러내리면서, 침 속에 포함된 칼슘(Ca)과 인(P) 성분이 치아 표면에 쌓이게 됩니다. 치아 표면에 먼저 타액 속 단백질이 달라붙고, 그 위에 구강 내 세균이 부착한 뒤, 칼슘과 인 성분을 이용해 단단한 구조물을 만드는데 이것이 바로 치석입니다.
제가 직접 거울로 확인해보니, 정말 아래 앞니 안쪽 경계 부분에만 유난히 노란 띠처럼 치석이 형성되어 있더군요. 양치질을 할 때도 칫솔모가 잘 닿지 않는 부위라 더 쌓이기 쉬웠던 것 같습니다. 치실을 쓰면서부터 조금 나아지긴 했지만, 완전히 없애기는 힘들었습니다.
치석이 잘 생기는 사람, 안 생기는 사람의 차이는 뭘까요?
똑같이 하루 세 번 양치질을 해도 어떤 사람은 치석이 거의 안 생기고, 어떤 사람은 몇 달 만에 다시 쌓입니다. 저는 후자에 속했는데, 이게 제 잘못이 아니라 선천적인 요인 때문이라는 걸 알고 나니 조금 마음이 편해졌습니다. 치석 형성에 영향을 미치는 주요 요인은
다음과 같습니다.
- 타액 성분: 침 속에 칼슘과 인 성분이 많으면 치석이 더 빨리, 더 단단하게 형성됩니다
- 구강 내 세균 종류와 수: 사람마다 입안에 서식하는 세균의 종류가 다르며, 치석 형성에 유리한 세균이 많으면 치석도 잘 생깁니다
- 치아 배열과 구조: 치아 사이가 좁거나 굴곡이 많으면 음식물 찌꺼기가 잘 끼고, 칫솔이 닿기 어려워 치석이 더 쉽게 형성됩니다
- 타액 분비량: 침이 적게 나오면 입안이 건조해지고, 자정작용이 떨어져 세균이 증식하기 쉬운 환경이 됩니다
제 경험상 커피와 차를 자주 마시고 물을 적게 마시는 습관도 문제였던 것 같습니다. 입안이 건조해지면서 치석이 더 빨리 생기는 느낌이었고, 실제로 물을 자주 마시기 시작한 후로는 구취도 줄고 입안이 한결 개운해졌습니다.
또한 제 경우 치아 사이가 좁아서 치실을 쓰지 않으면 음식물이 그대로 남아 있는 경우가 많았는데, 이것도 치석 형성을 가속화했던 것 같습니다. 국내 성인의 약 70% 이상이 치주질환을 경험하며, 그 주요 원인 중 하나가 바로 치석이라는 연구 결과가 있습니다
(출처: 질병관리청) 치석은 단순히 미관상 문제가 아니라, 잇몸 건강과 직결되는 문제입니다.
치석을 방치하면 어떤 일이 일어날까요?
치석을 그냥 두면 어떻게 될까요? 저는 한동안 바쁘다는 핑계로 스케일링을 미뤘다가 잇몸에서 피가 나는 경험을 했습니다. 양치질만 해도 칫솔모가 빨갛게 물들 정도였고, 거울을 보니 잇몸이 부어 있고 색도 평소보다 훨씬 붉었습니다. 치석은 세균의 집이기 때문에, 방치하면 세균이 계속 증식하면서 잇몸에 염증을 일으킵니다.
이 염증 상태를 치은염(gingivitis)이라고 합니다. 여기서 치은염이란 잇몸에 국한된 초기 염증 단계로, 이 시기에 치석을 제거하고 관리하면 원래 상태로 회복할 수 있습니다. 하지만 계속 방치하면 염증이 잇몸뼈(치조골)까지 진행되어 치주염(periodontitis)으로 발전하게 됩니다. 치주염 단계에서는 잇몸이 내려앉고, 치아가 흔들리며, 심한 경우 발치까지 이어질 수 있습니다.
제가 치과에서 스케일링을 받을 때마다 "치석이 많으시네요"라는 말을 듣는 게 은근히 스트레스였습니다. 마치 제가 관리를 안 하는 사람처럼 보이는 것 같아서 자존감이 떨어졌거든요. 그런데 치과의사 선생님께서 "치석은 타고난 침 성분이나 세균 구성 때문에 개인차가 크다"고 설명해주셔서 조금 위안이 됐습니다.
물론 관리를 소홀히 하면 더 빨리 생기는 건 맞지만, 아무리 열심히 닦아도 잘 생기는 사람은 있다는 거죠. 구취 문제도 심각했습니다. 치석 때문에 세균이 증식하면서 입 냄새가 심해졌고, 대화할 때 상대방이 미묘하게 뒤로 물러서거나 표정이 굳는 걸 느낄 때마다 정말 속상했습니다. 스케일링을 받고 나서야 입안이 개운해지고 구취도 많이 줄었지만, 몇 달 지나면 다시 치석이 생기는 악순환이 반복됐습니다.
글을 마무리하며
결국 제가 깨달은 건, 양치질만으로는 부족하고 치실이나 치간칫솔을 병행해야 한다는 점이었습니다. 또한 정기적인 스케일링은 선택이 아니라 필수라는 것도 뼈저리게 느꼈습니다. 치과에서는 보통 6개월에 한 번씩 스케일링을 권하는데, 치석이 잘 생기는 사람은 3~4개월 주기로 받는 게 더 좋다고 합니다. 저는 이제 3개월마다 스케일링을 받고 있고, 치실도 매일 쓰려고 노력 중입니다.
치석은 단순히 "양치를 안 해서" 생기는 게 아니라, 타고난 구강 환경과 생활 습관이 복합적으로 작용한 결과입니다. 저처럼 치석이 잘 생기는 분들은 자책하지 마시고, 거울로 아래 앞니 안쪽을 자주 확인해보시길 권합니다. 노란색이나 갈색 띠가 보이면 빠르게 치과를 방문해서 스케일링을 받으시고, 일상에서는 치실과 치간칫솔을 꼭 사용하시길 바랍니다. 치석은 예방이 최선이지만, 이미 생겼다면 전문가의 도움을 받는 게 가장 확실한 방법입니다.
'건강' 카테고리의 다른 글
| 역류성 식도염 (생활 제약, 사회 인식, 의료 시스템) (0) | 2026.03.23 |
|---|---|
| 소화불량 (기능성, 스트레스, 관리법) (0) | 2026.03.23 |
| 어깨통증 (오십견, 회전근개, 충돌증후군) (1) | 2026.03.21 |
| 편도결석 (원인, 치료법, 재발방지) (0) | 2026.03.20 |
| 알레르기 비염 (면역치료, 집먼지진드기, 증상) (0) | 2026.03.20 |